Researchers see that activity continues long after breath has left the body – not so much in the gray matter
Jodie Nicotra
Blame it on Victor Frankenstein and his predilection to dig up corpses for experiments – or the fact that living people typically need all their brains and so are loath to give them up for study.
In any case, up till now, most scientists who study brain diseases have had to use the brains of the dead. But a multidisciplinary team at the University of Illinois NeuroRepository, a brain tissue bank and research center in Chicago, found a workaround and has definitively shown the problems with using brains that are too long gone.
Relying on fresh brain tissue from local surgery patients, the study, recently published in Scientific Reports, provides key insights that could help with the study and treatment of brain disease, including epilepsy, Alzheimer’s, autism, and brain cancer.
Fabien Dachet, the lead author on the study, explained in an email that most research on brain diseases relies on tissue taken during autopsies. Given the time taken between death and the autopsy, though, it is hard to tell if the degraded brain function resulted from the disease, or, well, death.
“If researchers use brains from patients who have been dead for too long, the effect of the disease being studied will be masked by the effect of the brain death process,” Dachet said.
In postmortem tissue, the expression of most of the genes involved in brain activity and seizure activity were reduced. In itself, this reduction of brain activity after death is not terribly surprising; most people assume that once the heart stops beating, all other bodily activities stop, too. But the researchers wanted to definitively find out whether this reduction in gene expression happened before or after death.
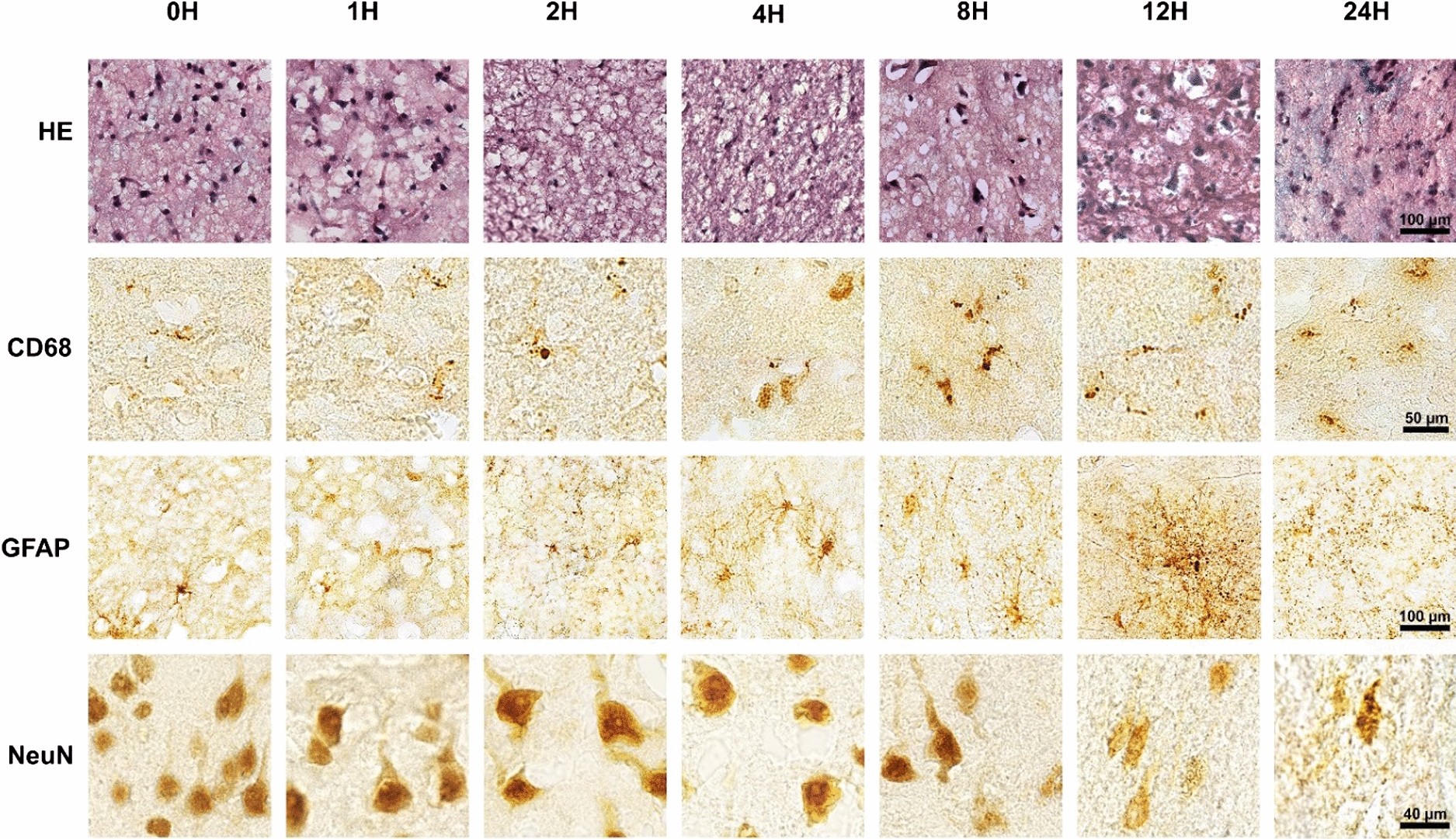
The team performed an experiment to follow the course of brain deterioration over 24 hours after death. Using part of a brain taken directly from the surgery room of a patient with epilepsy who needed it gone, they took an initial reference sample, then sampled it over 24 hours.

They had to make sure that protein production was normal in the samples taken. As high school biology may remind you, unzipped DNA (deoxyribonucleic acid) in the nucleus of every living cell strings together mRNA (messenger ribonucleic acid), which dives out of the pores in the nucleus to itself daisy chain a row of amino acids to produce a protein. In this case, it would be in a brain cell. The team checking the integrity of about 1,000 bits of RNA and found they worked fine at the outset, despite having come from people with epilepsy. This was important since there is evidence that “genes, developmental mechanisms, and neuronal plasticity” play major roles in increasing hyperexcitability in people with epilepsy. So the researchers compared these fresh brain samples to post-mortem brains of people who had Parkinson’s, schizophrenia, Huntington’s, and autism.

In what Dachet described as a “shocking difference” in activity, genes associated with brain activity were seen to be significantly more muted in post-mortem brains, no matter whether the fresh tissues had exhibited high or low epileptic activity. The researchers found that neurons, which forms the gray matter and are the cells most associated with brain function quickly lost their ability to make proteins from genes. But another class of cells that are crucial for neuronal function, the glial cells (white matter) increased their activity after death.

By four hours after death, most neurons were swollen; by 12 hours nuclear details were disappearing; by 24 hours most neurons were degraded. But microglia increased their activity in two hours; some astroglia which had remained quiet, upped their activity only after four hours but gave up the ghost after 24 hours.
The researchers pointed out that after brain injury caused by reduced availability of oxygen, the similar changes have been seen: reduced gene expression in neurons and increased gene expression in astrocytes.
Glial cells, or glia, are actually not a specific type of cell, but a varied collection that comes in many forms: star-shaped, bushy, spindly, or sheathlike. Early researchers did not even recognize that glia as cells. They saw glia more as a matrix in which neurons rested. In comparison to their flashier neuronal brethren, glia have some housekeeper genes that nourish and protect the brain, keep the nervous system stable, and clean up after neurons. The genes the researchers found most active were those involved in energy production.
Though one might wonder if the brain immediately after dying is still processing information, it’s more likely that the increase in glial activity after death was probably stimulated by the degeneration of brain activity. In other words, the glial cells were making one last heroic effort to restore the brain’s vital functions, Dachet said.
More importantly, without such a timed study, which essentially watched the brain tissues dying, the loss of neuronal activity and rise in glial activity would have been easy to miss.

“What is important is that we fully understand this when we study brain diseases, including Alzheimer’s, autism, and schizophrenia with postmortem studies, since a lot of changes are occurring in the postmortem tissue that are not related to the underlying disorder being studied,” Dachet said.
Based on the results of this study, the researchers recommend that researchers should limit studying post-mortem brains to 4 hours after clinical death. If they exceed that time, they should take into account what the team learned about the effect of death on brain cells: that neurons quickly die and glial cells grow.
This study raises other questions. For instance, are neurons in a postmortem brain really dead (as Dachet defines it it, “an irremediable condition in which their functioning cannot be restored”)?
Or are they just in a state of deep rest, waiting till such time that brain functioning is restored?
Jodie Nicotra writes about science and technology. She has taught science writing and many other types of writing at the University of Idaho.
The original report appeared in Scientific Reports.



